초해상도 알고리즘으로 영상 두께 자유변환해 정확도↑…日 특허 획득
[비즈월드] 흉부 컴퓨터 단층촬영(이하 CT) 검사는 높은 민감도로 폐결절을 검출, 폐암의 선별 검사에 사용되는 검사다. 그러나 건강검진 증가로 CT 검사의 양도 급증하고 있고 판독 기준이 까다로운 탓에 영상의학과 전문의들의 과도한 업무 부담을 우려하는 목소리가 높다.
이에 인공지능(AI)을 기반으로 폐결절을 정확히 탐지해 효율적인 폐암 검진을 돕는 다양한 소프트웨어가 주목을 받고 있는다. 그중 글로벌 의료AI 선도 기업 뷰노의 '뷰노메드 흉부 CT AI(VUNO Med®-Lung CT AI™)'가 탐지 정확도를 높이며 이목을 집중시켰다.

뷰노메드 흉부 CT AI는 AI를 기반으로 흉부 CT 영상에서 탐지된 폐결절의 종류와 위치, 지름과 부피 등의 특징 정보를 제공하는 솔루션이다. 초해상도(Super Resolution) 알고리즘을 적용해 기술적 완성도를 높인 것이 특징이다.
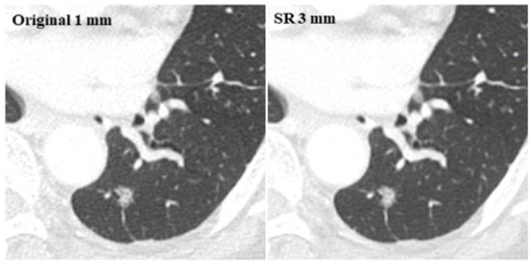
초해상도는 영상 슬라이스 두께가 서로 다른 CT 이미지를 더 얇은 두께로 변환해 영상의 일관성과 정밀도를 높이는 기술이다. 뷰노는 최근 이 기술을 '재구성된 영상군에 기초한 영상 제공 방법 및 이를 이용한 장치'로 일본 특허를 취득했다.
일본 특허는 여러 장의 단층 영상으로 구성된 CT 영상에서 영상 슬라이스 간 간격을 의미하는 영상의 두께를 5㎜, 3㎜, 1㎜에서 자유롭게 전환할 수 있는 인터페이스를 전달하는 방법을 핵심으로 한다.
일반적으로 CT 영상의 두께가 두꺼워지면 판독과 저장 공간의 효율성은 높아지는 반면 영상의 품질은 낮아진다. 이에 따라 두꺼운 수준인 5㎜ 두께의 영상 슬라이스는 정확한 검진을 위해 더 얇은 두께의 영상 슬라이스와 비교하는 노력이 필요하다.
뷰노의 이번 기술은 이런 노력을 줄일 수 있는 기반이 된다. 의료진은 흉부 CT 영상 두께를 자유롭게 전환할 수 있게 됐으며 이를 바탕으로 슬라이스 두께 차이에서 발생할 수 있는 분석 결과의 오류를 줄여 폐결절 탐지 정확도를 높일 수 있을 전망이다.
실제로 영상의학 분야에서 가장 권위있는 학술지인 'Radiology'에 발표된 내용을 보면 초해상도 알고리즘을 통해 두께를 변환한 경우 3㎜와 5㎜ 모두에서 폐결절 탐지의 민감도가 개선된 것으로 나타났다.
여기에 '대한영상의학회(KJR)'에서 발표된 내용에 따르면 이 알고리즘으로 다양한 두께의 흉부 CT 슬라이스를 1㎜로 변환했을 때 기존 1㎜ 슬라이스와 유사한 수준의 라디오믹 특징(Radiomic Feature)의 재현성(Reproducibility)을 보였다.

뷰노는 향후 일본에서 제조·판매 인증을 획득한 뷰노의 흉부 CT 솔루션에 이번 특허 기술을 적용할 예정이다. 이후 지난해 계약을 체결한 소니 자회사이자 일본 최대 의료정보플랫폼 기업인 엠쓰리(M3)와 협력해 일본 의료시장에 사업을 확장할 계획이다.
아울러 뷰노는 현재 뷰노메드 흉부 CT AI의 국내 식품의약품안전처 허가와 유럽 CE인증을 획득, 국내 및 유럽 시장에서도 상용화를 추진하고 있다.
이와 함께 뷰노는 다양한 연구개발(R&D)을 중심으로 자사의 흉부 CT 솔루션을 고도화할 방침이다. 당장 30일부터 열리는 '북미영상의학회(RSNA 2021)'에서도 흉부 CT 관련 3개의 발표가 진행된다.
뷰노 관계자는 "지난해 글로벌SW전문기업육성사업의 일환으로 과학기술정보통신부로부터 연구개발비 7억원을 지원받아 흉부 CT 기반 호흡기 감염병 진단용 AI 폐 CT 분석 소프트웨어를 개발하는 등 다양한 R&D를 이어가고 있다"고 말했다.
[비즈월드=황재용 기자 / hsoul38@bizwnews.com]
